

605388
股票代码

Micro-Ecological Strength
微生态实力
世界卫生组织(WHO)将益生菌定义为足量食用会对宿主有益的活性微生物。[1]根据这个定义,益生菌必须是“活的”,才能起到健康作用,这是益生菌产生功效的基础。
这意味着从产品的生产(包括菌种的筛选、生产环境、包装等),到食用后通过胃酸、胆盐的能力,以及在肠道定植的能力等都影响益生菌的活性以及最终发挥的作用。
随着研究深入,近来科学研究发现,活菌的代谢产物或菌体成分也有多种健康作用 。这些活效因子被国际益生菌组织命名为「后生元 」(Postbiotics)。



均瑶健康×江南大学益生菌&后生元研究室针对功能性益生菌菌株进行联合研究,通过大量动物试验和临床试验,筛选出了数株有活效因子后生元的益生菌,分析出后生元中对宿主发挥作用的具体物质,并针对后生元中的提纯物质深入进行功能分析。目前CCFM1118(抗幽门螺杆菌)、CCFM1139(牙周炎)和RS8-5(解酒护肝)三株益生菌的后生元功能得到初步验证,其中卷曲乳杆菌CCFM1118已进入人体临床阶段。
2022年,均瑶健康再度加码后生元研究与产业化应用,与高校共建益生菌&后生元功能食品应用创新研究中心,开发出缓解肠炎的后生元-J26、降糖降脂的后生元-J26、护肝的后生元-J26、降尿酸的后生元-JL1、缓解过敏的后生元-JL1等系列后生元原料。
后生元J26研究1
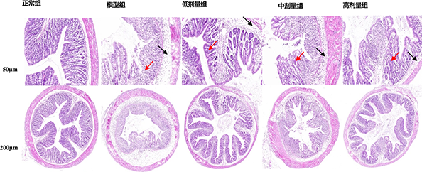
改善肠道健康-结肠炎

后生元J26研究2
对酒精诱导肝损伤具有防护作用

后生元J26研究3
缓解食物过敏与抗生素相关性腹泻





















国际食品期刊 “Trends in Food Science & Technology” 指出后生元的发现,将引领全球大健康产业进入下一阶段的产业革新 。
目前,均瑶健康正应用后生元,对传统乳酸菌进行革新,将乳酸菌制品变得更加多元和健康,并创造性开发系列后生元休闲食品,以期实现休闲食品健康化的目标。
同时,均瑶健康与行业协会共同起草后生元行业标准,构建后生元质控体系,积极推动国内后生元市场规则与国际接轨。